Dental Implants in Portland, OR

The Tooth Loss Solution
You’ve Been Searching For!

A Permanent Solution with
Dental Implants

Individuals with one or more missing teeth often struggle to chew and bit or may feel embarrassed to speak and laugh. Missing teeth can affect facial structure, cause a decline in your health, and result in discomfort or pain. Whether you are missing one tooth or a whole row of teeth, dental implants are a ground-breaking solution.

Individuals who have suffered from missing all their teeth can now restore their smile with full-mouth dental implants. This permanent solution can last 30 years or more while restoring your dental health, function, and aesthetics. Our team at Centerport Cosmetic & Implant Dentistry is experienced in providing dental implants in Portland, OR, and can help you achieve a new smile and quality of life with this permanent solution.

What is a Dental Implant?

Dental implants are made up of three components—a post, an abutment, and a restoration. These components mimic the function of natural teeth by stabilizing the surrounding bone and tissues. Dental implants are secured directly into the jawbone and are known to be one of the most versatile tooth replacements available. They allow your dentist to replace any number of missing teeth, customizing treatment to each patient.

Dental implant surgery is a complex treatment requiring the precision of a skilled implant dentist and advanced surgical technology. This combination of expertise and technology optimizes the outcomes of your treatment and success. The amazing team at Centerport Cosmetic & Implant Dentistry has treated a variety of cases with state-of-the-art technology and high-quality materials available at our dental office. Full-mouth dental implants have changed the lives of patients who thought they could never restore their smile.

With our expertise, we can help you experience a life of health, function, and confidence with dental implants in Portland, OR!

Dental Implant Options Available to You

Dental implants allow patients the flexibility of replacing a single tooth or replacing one or more missing teeth in a row with full-mouth dental implants. A common use of dental implants is to increase the stability of a modified denture. A modified denture is a restoration that snaps securely to the implants placed in the jawbone.

If you are suffering from missing many or all teeth, dental implants can support a full, fixed bridge of artificial teeth. This permanent, stable solution allows patients to enjoy any type of food thanks to their life-like teeth.  No matter what combination of dental implants you need, this solution allows you to eat comfortably, feel confident, and enhance your quality of life.

Whether you require a single implant or are looking to rejuvenate your smile with full-mouth dental implants, we can help you!

Single implant

Implant Supported Bridge

Implant Supported Dentures

Full Mouth Dental Implants

Number Badge on Image

The Process of Dental Implants

Patients who receive dental implant treatment at Centerport Cosmetic & Implant Dentistry experience personalized treatment plans designed to help them meet their smile goals. You’ll first complete a consultation with our implant dentist in Portland, OR where we’ll discuss your dental and medical history, take digital X-rays, and create a custom treatment plan.

In addition to your dental implant surgery, you may need tooth extractions and bone grafting. Dr. Wang utilizes fully guided techniques with surgery guides such as BioHorizons®, Straumann®, and Dentsply Sirona®. Guided surgeries allow Dr. Wang to ensure efficiency and precision with exact, predictable results.

Dental implant surgeries take place under sedation to ensure you are pain-free. In many cases, we’re able to attach a temporary tooth or set of teeth at this same appointment. Healing will take place over the next three or more months, but you’ll be able to eat comfortably and enjoy restored smile esthetics until you receive your permanent, custom-made dental implant restoration.

Long-Term Results Of Dental Implants

  • Restoration of function for proper biting and chewing
  • Natural look and feel of your teeth
  • Rejuvenated smile to boost confidence
  • Improvements to oral health and physical health
  • The significantly better overall quality of life
 

The Proof Is
In Our Patients

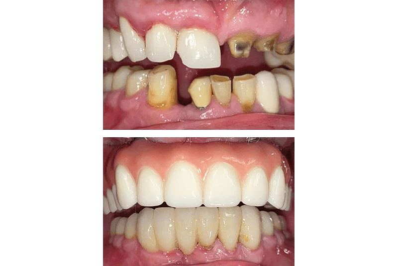
This patient suffered damage to his teeth at a young age and has had growing issues ever since. After hearing about and meeting Dr. Wang, they decided to complete an entire smile makeover. This patient had the full arch dental implants procedure.

Top 5 Mistakes People Make With Dental Implants

Do you have all the information you need to make the right decisions about dental implants? Don’t make any of these five common mistakes. Our exclusive checklist will steer you in the right direction.

Affordable Dental Implants Are A Reality

Dental implants tend to come with a higher investment compared to other solutions. However, the long-lasting, life-changing benefits often outweigh the initial costs for many patients. Dental implants are widely accepted as the closest thing to natural teeth thanks to their dramatic improvements to self-esteem, oral health, and systemic health. The amazing boost in your quality of life cannot be overlooked.

We recognize these transformative effects which are why we do everything we can to make your dental implant treatment in our Portland, OR implant practice achievable. We’ll file your insurance claim on your behalf and connect you with leading financing companies that can break your payment down into manageable monthly payments. We’ll make receiving affordable dental implants from an experienced implant dentist in Portland, OR possible! Don’t wait to find out how.

Patient Stories