Crafting Confidence
My Journey with
Porcelain Veneers
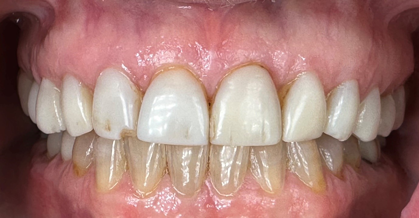
Before

Embarking on a journey of smile transformation with porcelain veneers is both an art and a science. As a dentist, I’ve had the privilege of witnessing firsthand the profound impact that these innovative dental treatments can have on my patients’ lives. Today, I want to share with you one such transformative journey – a case that exemplifies the power of precision, collaboration, and dedication to excellence.
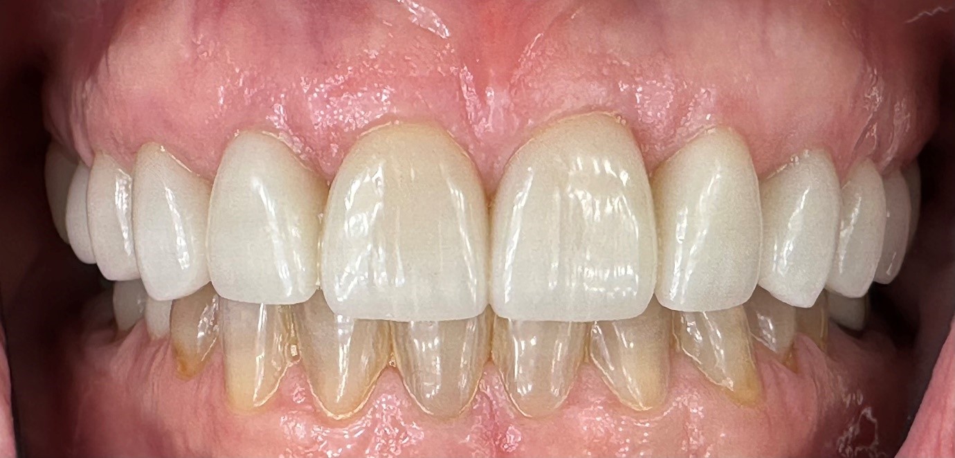
After

The story begins with a patient who, like many others, sought to enhance their smile with porcelain veneers. However, their previous experience with veneers left much to be desired. Ill-fitted and made from substandard materials, these veneers not only failed to meet aesthetic expectations but also caused functional issues, creating discomfort and frustration for the patient.
When the patient came to me seeking a solution, I knew that this case would require a meticulous approach. Utilizing advanced digital technology, including photography and digital intraoral scanning, we carefully assessed the patient’s smile and identified areas for improvement. But beyond aesthetics, our focus was on ensuring optimal function to guarantee the longevity and durability of the new veneers.
Collaborating closely with one of the country’s top dental ceramists, we embarked on a journey of precision and artistry. With each step, from designing the mockup to crafting the final veneers, we paid meticulous attention to detail, striving for perfection in every aspect. The ceramist’s expertise and craftsmanship were invaluable, as he brought to life a vision of beauty and harmony that surpassed our patient’s expectations.
From the surface texture to the translucency of the enamel, every element was carefully considered to create a smile that not only looked stunning but also felt natural and comfortable. As the final veneers were bonded in place, I couldn’t help but feel a sense of pride and satisfaction, knowing that we had truly made a difference in our patient’s life.
The end result? A radiant, flawless smile that restored our patient’s confidence and transformed their outlook on life. But more than just a cosmetic enhancement, this journey exemplifies the profound impact that quality dental care can have on an individual’s well-being.
As dentists, we have the privilege and responsibility to change lives through our work. And in cases like this, where precision meets artistry, we are reminded of the transformative power of a beautiful smile. So, if you’re considering porcelain veneers or any other cosmetic dental treatment, know that you’re not just investing in your appearance – you’re investing in your confidence, your happiness, and your overall quality of life.
